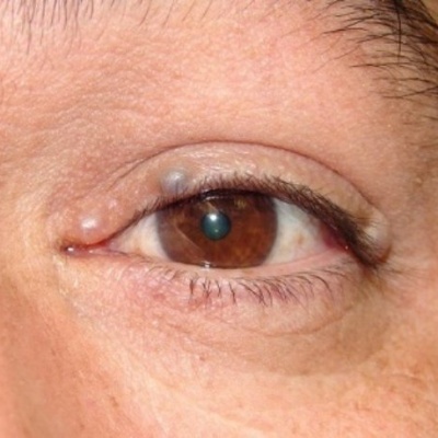
Если закупорилась сальная железа, появится киста Молля. Выглядит, как пузырек, который либо на нижнем, либо на верхнем веке. Причиной служат инфекции. В соответствии со статистикой распространенными называют: герпес и папилломавирусную инфекцию. Помимо них причина кроется в аллергических реакциях, либо косметике низкого качества.
Область поражения краснеет, начинает жечь. Нет угрозы здоровью заболевшего. Проходит без применения медицинских препаратов. Если уже появлялась, то есть риск очередного появления. В конкретных случаях требуется хирургическое вмешательство.
Папиллома
Вирус папиллому человека – это бородавка, которая в области век. Выделяют свыше ста видов этого заболевания. Эти болезни отличаются по своим признакам. В то время, как одни с некоторой вероятностью вызывают заболевание рак, другие проходят без последствий. Отличия заметны и во внешнем виде – форме, оттенке, размере. При появлении следует немедленно обратиться к врачу, который назначит диагностику, а затем – комплексное лечение. Чем раньше пациент обратится в медицинское учреждение, тем больше риск, что удастся вылечиться.
Вирус папиллому человека – это бородавка, которая в области век. Выделяют свыше ста видов этого заболевания. Эти болезни отличаются по своим признакам. В то время, как одни с некоторой вероятностью вызывают заболевание рак, другие проходят без последствий. Отличия заметны и во внешнем виде – форме, оттенке, размере. При появлении следует немедленно обратиться к врачу, который назначит диагностику, а затем – комплексное лечение. Чем раньше пациент обратится в медицинское учреждение, тем больше риск, что удастся вылечиться.
Ожог
Волдыри на зрительном аппарате появляются вследствие конкретного воздействия. Частое явление – несоблюдение техники безопасности.
Выделяют следующие разновидности ожогов:
Волдыри на зрительном аппарате появляются вследствие конкретного воздействия. Частое явление – несоблюдение техники безопасности.
Выделяют следующие разновидности ожогов:
- Термический. Попадание в органы зрения огня, либо горячих жидкостей.
- Химический. Попадание в органы зрения кислот, реагентов.
- Лучевой. Органы зрения повреждаются вследствие воздействия ионизирующего излучения.
Характерные ощущения: острые болезненные ощущения, обильное слезотечение, покраснение. Пораженная часть отекает. При условии, что поражение было сильным, видно обугливание. Если под воздействие конкретных факторов попала слизистая оболочка, отмечается ухудшение зрения.


